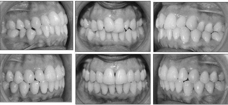
Cada sonrisa cuenta una historia, una selección de casos clínicos que muestran la transformación y el cuidado detrás de cada paciente.